Tư vấn     Sức khỏe
Mamibabi Tư vấn
SIÊU ÂM KHI MỚI CÓ THAI – CÂU CHUYỆN NHIỀU TẬP

🔴Tập 1: SIÊU ÂM NGẢ ÂM ĐẠO

Một cô gái trẻ trễ kinh 2 tuần, thử que 2 gạch, đi khám vì ra huyết. Cô thì không có gì, nhưng mẹ nhất định không cho siêu âm ngả âm đạo. Bác giận bác sĩ vì “chọt cái cây đó vô còn gì là thai”. Oan thiệt chớ! Nếu mà siêu âm gây sẩy thai, hư thai thì chắc chắn không ai can đảm làm cô ơi! Nếu lỡ thai ngoài tử cung mà phát hiện trễ, lúc đó lỗi tụi con lớn lắm, nên cô cứ an tâm. Vậy mà, cô vẫn không an tâm!!!

🟠Tập 2: Bóc tách, tụ dịch, động thai

Đang yên đang lành, đi siêu âm xong về không dám nhúc nhích. Túi thai tụ dịch 30%, 40%, nguy cấp lắm rồi. Nếu mà có ra máu nữa thì tình hình vô cùng bi đát!!!
KHÔNG – MỘT NGÀN LẦN KHÔNG

Lớp dịch phản âm kém lượng ít dưới màng đệm có thể là dịch sinh lý ở thai giai đoạn sớm, khác với khối máu tụ dưới màng đệm. Còn nếu có xuất huyết dưới màng đệm, thì mối tương quan giữa khối xuất huyết này và kết cục thai kỳ hiện vẫn chưa rõ. Có thể có kết cục bất lợi nhưng cần nghiên cứu thêm, có thể không liên quan sẩy thai đáng kể. Ngoài ra, không có chỉ định nằm bất động trong trường hợp này, vì không cải thiện tình hình, ngược lại có khi gây hại thêm, ví dụ như tắc mạch, rất mệt mỏi, stress v.v…
Vì vậy, nếu lỡ có thấy xuất huyết dưới màng đệm, hít một hơi thật sâu, rồi tự nhủ “khoa học chưa rõ ràng, thôi mình không cần lo nữa, cứ theo dõi tiếp thôi”.

🟢Tập 3: tim thai

Mọi chờ mong siêu âm đầu thai kỳ là nhịp tim đập của em phôi bé bỏng. Em phôi nhỏ xíu như hạt mè, hạt đậu, vậy mà tim nhấp nháy liên hồi. Thấy được tim thai, là thấy sự sống rõ ràng hiển hiện.

Hoạt động tim thai có thể thấy từ tuần thứ 6 của thai, khi chiều dài đầu mông của phôi (CRL) khoảng 1,5 – 2mm. Khi phôi khoảng 2-4 mm, có khoảng 5-10% trường hợp phôi sống chưa thấy hoạt động tim thai. Vì vậy, nếu chưa thấy tim thai, có thể chờ đợi thêm. Ngoài ra, cũng như người lớn mình, tim thai không là con số hằng định, có thể lần này siêu âm ra tần số khác, hôm sau khác, miễn là trong giới hạn bình thường, tùy giai đoạn phôi thai.

‼ Gọi là tim thai chậm khi:
+ CRL 1-4 mm: tim thai chậm khi <90 l/p, giới hạn: 90-99 l/p
+ CRL 5-9mm: tim thai chậm khi < 110 l/p, giới hạn: 110-119 l/p

Tim thai giai đoạn phôi thai chỉ có ý nghĩa duy nhất - là sự sống. Không thể dự đoán thai tốt hay không tốt, bình thường hay dị tật, con trai hay con gái.

🆘Các dấu hiệu tiên lượng không tốt:

Túi thai không đều, nằm thấp; vôi hóa noãn hoàng (yolk sac), túi ối trống, tim thai chậm ≤85 lần/phút, khối xuất huyết lớn; đường kính túi thai nhỏ, tương quan giữa túi thai và phôi (MSD – CRL) <5mm.

Mình có 1001 câu chuyện liên quan đến siêu âm thai sớm này, nhưng thật lòng mình muốn nói chỉ một điều duy nhất: không có bác sĩ Sản khoa nào thấy dễ chịu khi nói rằng em bé có thể không giữ được, không bác sĩ Sản khoa nào thấy thoải mái khi tư vấn “hay mình dừng theo dõi thai nha, không còn hy vọng”, không hề có. Y khoa sẽ có những chuyện khó mà giải thích hay lý giải, nên nhiều lúc cũng suy nghĩ bâng quơ vài ngày, rồi thôi.

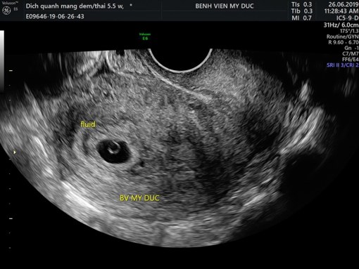
Hai cái hình bên dưới, nếu là bệnh nhân, thì khó mà hiểu hết. Nhưng nếu hỏi cái nào tiên lượng tốt hơn, câu trả lời “không biết đâu”, có nhiều chuyện trên đời, thấy vậy mà không phải vậy!!

Bs. Lê Tiểu My

0 Trả Lời
Lưu lại

🎉 Tải app MIỄN PHÍ ngay
100% Miễn phí An toàn Tin cậy
Hoặc quét mã trên điện thoại để tải
Lưu ý: Thông tin tư vấn tại Mamibabi chỉ mang tính chất định hướng, không có giá trị thay thế chỉ định của bác sĩ. Mamibabi không chịu trách nhiệm về những trường hợp tự ý áp dụng mà không có chỉ định của bác sĩ.
Nhận ngay 5,000+ hoạt động Thai giáo, Giáo dục sớm, Tập nói sớm, Ăn dặm VIP
Thai giáo
Giáo dục sớm
EASY, Luyện ngủ
Tập nói sớm
Ăn dặm VIP
Tư vấn 1:1
XEM THÊM CHỦ ĐỀ
Sức khỏe
Giải đáp sức khỏe cho mẹ và bé
TÌM KIẾM